La epilepsia está rodeada de mitos dañinos que alimentan estigma, discriminación y miedo innecesario, a pesar de que es uno de los trastornos neurológicos más comunes y, en la mayoría de los […]
Popular Posts
Trending Posts
Recent Posts
Editors Choice
Estilo de Vida y Calidad de Vida con Epilepsia
Vivir con epilepsia no solo implica tomar medicamentos y controlar las crisis; también influye profundamente en el estilo de vida y la calidad de vida de la persona. Afortunadamente, cuando […]
Manejo de Epilepsia Durante el Embarazo y Lactancia
El manejo de la epilepsia durante el embarazo y la lactancia requiere un enfoque planificado y multidisciplinario, que equilibre el control de las crisis con la seguridad del feto y el recién nacido frente a […]
Predicción de Crisis: IA y Algoritmos para Prevenir Convulsiones
La predicción de crisis epilépticas es uno de los campos más prometedores de la epilepsia actual, gracias al desarrollo de algoritmos de inteligencia artificial (IA) que analizan el EEG y otros datos […]
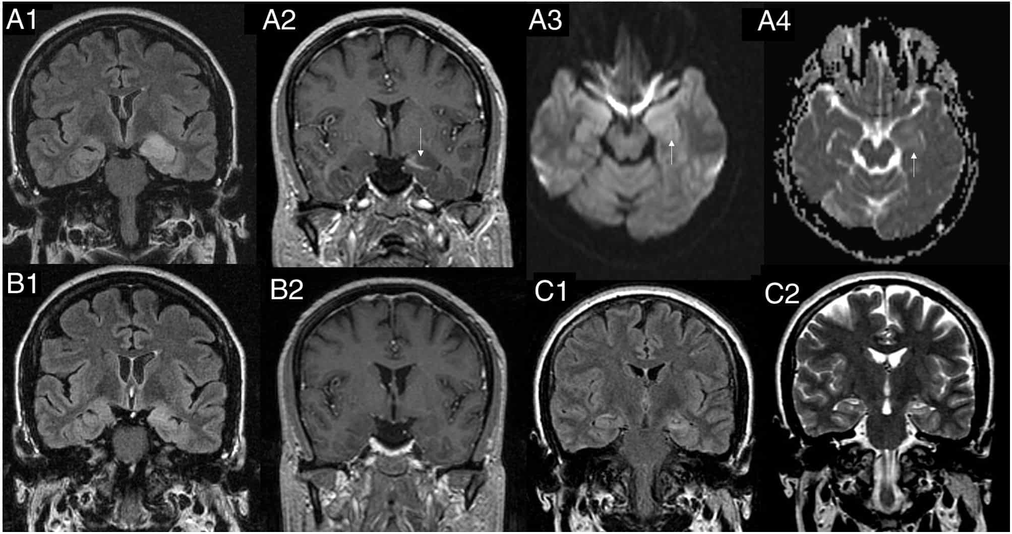
Neuroimagen en Epilepsia: RM, PET, SPECT y Nuevas Herramientas
La neuroimagen es hoy un pilar fundamental en el diagnóstico, la localización y el manejo de la epilepsia, especialmente en pacientes con epilepsia focal farmacorresistente evaluados para cirugía o neuromodulación. En […]
Epilepsia en Adultos Mayores: Diagnóstico Diferencial y Tratamientos
En los adultos mayores (≥65 años), la epilepsia es la segunda o tercera de las causas de síncopes y episodios de conciencia alterada, tras las causas cardiovasculares y las caídas por debilidad […]
Epilepsia Postraumática: Qué Es, Riesgos y Prevención
La epilepsia postraumática es una forma de epilepsia adquirida que se produce como consecuencia de un traumatismo craneoencefálico (TCE), con crisis recurrentes que aparecen semanas, meses o incluso años después de la lesión. […]
Tecnología Wearable y Apps para Monitoreo de Convulsiones
La tecnología wearable y las aplicaciones móviles están transformando la forma de monitorear convulsiones y la vida diaria de personas con epilepsia, sobre todo en 2026, con dispositivos de muñeca, sensores […]
Protocolos Clínicos Actualizados para Epilepsia (ILAE, OMS)
Los protocolos clínicos más actuales para la epilepsia, en 2026, se estructuran principalmente alrededor de las guías de la ILAE (Liga Internacional contra la Epilepsia) y de los marcos de la OMS y […]
Epilepsia y Salud Mental: Ansiedad, Depresión y Estrés
La epilepsia no solo afecta el cerebro desde el punto de vista de las crisis, sino que tiene un impacto profundo sobre la salud mental, con tasas elevadas de ansiedad, depresión y […]